Fachleute posten News Studie

Reden wir über Long COVID: Ich fasse hier mehrere wichtige und interessante Artikel über die Realität von LongCOVID zusammen

Durch die Untersuchung von Hirnflüssigkeit, viraler Persistenz und MRTs verbessern wir unser Verständnis für das “Wie” und “Warum” dieser verheerenden Krankheit.

Ein Zug ist im Anmarsch, lesen Sie weiter…


Liquor bietet Anhaltspunkte für #BrainFog

Die meisten Patienten, die nach einer leichten #COVID neue “Denkprobleme” hatten, wiesen Anomalien in der Flüssigkeit von Lumbalpunktionen auf (Bild); bei den Kontrollen war dies nicht der Fall.

Verzögerte #LongCOVID war häufig bei jüngeren Menschen, die sich für sicher hielten.


Denjenigen mit #LongCOVID-Beschwerden zu glauben, ist unser 1. grundlegender Beweis der Unterstützung!

“Wenn Menschen uns sagen, dass sie neue Denk- und Gedächtnisprobleme haben, sollten wir ihnen glauben, anstatt zu verlangen, dass sie bestimmte Schwerekriterien erfüllen.” Dr. Apple UCSF


Die Ursache von #LongCOVID könnte die Persistenz des Virus im Körper sein.

In dieser Studie (N=29) wurde virale RNA in 51 % (Plasma, Stuhl oder Urin) der Personen mit Müdigkeit, Schmerzen, Lungen- und Herzsymptomen gefunden. 55 % hatten nur eine leichte COVID.

Die Behandlung mit antiviralen Medikamenten hat geholfen und gibt #Hoffnung.


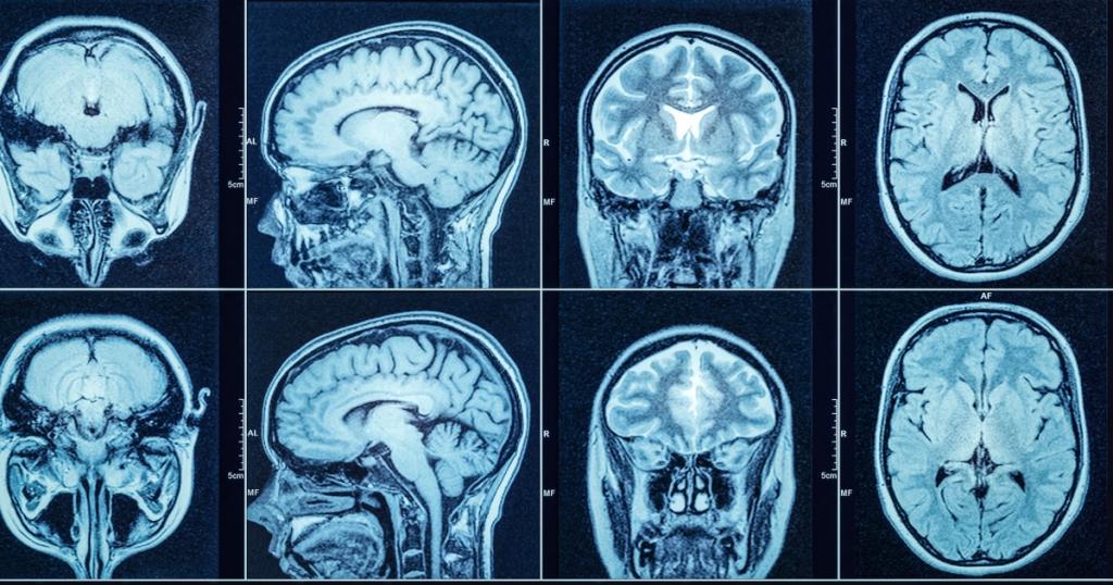
Die Bildgebung des Gehirns vor und nach #COVID zeigt Veränderungen.

Unser @CIBScenter Patienten der #LongCovid-Selbsthilfegruppe berichten uns täglich, dass selbst eine “leichte” COVID dazu führt, dass die Betroffenen nicht mehr in der Lage sind, zu arbeiten, sich um ihre Familien zu kümmern oder Aufgaben im Beruf und im täglichen Leben zu erledigen.


In der inzwischen berühmten UK Biobank vom 7. März 2022 @NatureMedicine Studie wurden bei 401 Personen, von denen die meisten eine leichte #COVID hatten und nicht ins Krankenhaus eingeliefert wurden, MRTs vor und nach der Infektion durchgeführt.

Im Vergleich zu 384 Kontrollpersonen, die nie an COVID erkrankt waren, ergaben sich verblüffende Ergebnisse.

Lassen Sie uns auspacken…


Die Anomalien wurden vor allem im limbischen System und in den Geruchsbereichen festgestellt.

Das limbische System ist an unseren Verhaltens- und Gefühlsreaktionen für das Überleben beteiligt, z. B. an der Nahrungsaufnahme, der Versorgung unserer Jungen und an Kampf- oder Fluchtreaktionen.


Die zweiten Scans wurden ~5 Monate nach COVID durchgeführt.

Diese SCHRECKLICHEN 😱 Befunde können auf eine degenerative Ausbreitung des Virus über den Geruchsnerv (man denke an Anosmie) und Neuroinflammation zurückzuführen sein.

Die Patienten mit MRT-Veränderungen wiesen auch nach Ausschluss derjenigen, die im Krankenhaus waren, einen stärkeren kognitiven Rückgang auf.


Um Ihnen ein praktisches Verständnis dafür zu vermitteln, was diese 🧠 Gehirnveränderungen bei diesen Menschen bewirkt haben, zeigt diese Abbildung, dass sich die Zeit zur Bearbeitung kognitiver Tests um bis zu 30 % verlängert hat.

Wie frustrierend wäre es im täglichen Leben, so langsam zu denken?

Das wollen Sie nicht.


Für unsere #Neurowissenschaftsjunkies hier die Ergebnisse der MRTs:

Größere Abnahme der Dicke der grauen Substanz und des Gewebekontrasts im orbitofrontalen Kortex, im parahippocampalen Gyrus und im olfaktorischen Kortex.

“VERRINGERUNG DER GESAMTGRÖSSE DES GEHIRNS”.

Überhaupt nicht gut. 👎🤬


Der Artikel endet folgendermaßen:

“Dies ist die erste longitudinale Bildgebungsstudie, die Gehirnscans von Personen vor und nach einer SARS-CoV-2-Infektion mit den Scans einer gut abgestimmten Kontrollgruppe vergleicht…

…Es handelt sich um eine der größten #COVID19-Studien zur Bildgebung des Gehirns mit 785 Teilnehmern, darunter 401 mit SARS-CoV-2 infizierte Personen.

Ihr einzigartiges Design ermöglicht es, den pathogenen Beitrag, der direkt oder indirekt mit SARS-CoV-2 assoziiert ist, sicher zu erkennen…

Durch den Einsatz automatisierter, objektiver und quantitativer Methoden haben wir ein konsistentes räumliches Muster von Längsschnittanomalien in limbischen Hirnregionen aufgedeckt, die ein hauptsächlich olfaktorisches Netzwerk bilden…

Ob diese Veränderungen ein Zeichen für die Ausbreitung der pathogenen Wirkungen oder des Virus selbst im Gehirn sind und ob sie eine künftige Anfälligkeit des limbischen Systems, einschließlich des Gedächtnisses, vorwegnehmen, muss noch untersucht werden.

Noch nicht überzeugt⁉️.

LongCovid ist real.

Verleugnen Sie nicht Ihre Freunde und Kollegen, die sagen, sie seien behindert.

Sie können wirklich NICHT ihre Arbeit machen oder sich an Dinge erinnern. Sie leiden körperlich.

Bereiten wir uns darauf vor, ihnen in den kommenden Jahren zu helfen. Globale Anstrengung.

Bitte #Impfung!


Quelle: Twitter
Übersetzt mit  

https://twitter.com/WesElyMD/status/1501717860942553089